Сегодня каждый человек уделяет особое внимание своей внешности: делает пластическую операцию, омолаживает себя, а также следит за своими зубами, поскольку улыбка – визитная карточка любого человека.
Именно от улыбки зависит первое впечатление о человеке. Вот почему клиника эстетической стоматологии в Киеве заботится о зубных органах своих пациентов и незамедлительно исправляет сколы, разрушения и другие дефекты зубов.
Способы
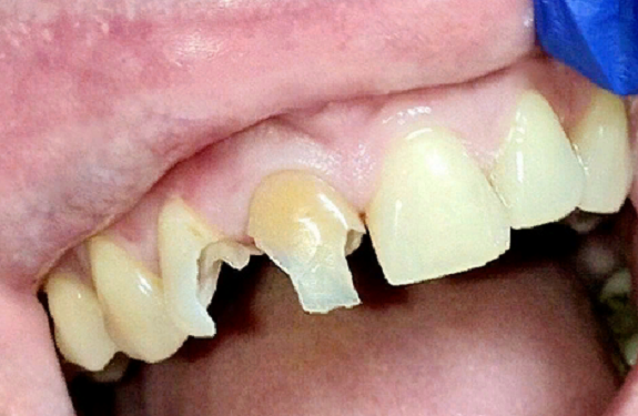
Периодически клиенты хотят восстановить не только функциональность зубных органов, но и их эстетический вид. Именно в такие моменты для реставрации зубов применяются люминиры, виниры, вкладки, коронки и другие элементы.
Учитывая сложность случая клиента, выделяют следующие способы восстановления:
- Виниры. Изделия используются для устранения небольших сколов и дефектов. Виниры обеспечивают защиту от разнообразных разрушений.
- Накладка. Способ используется в тех случаях, когда зубы не подвергаются пломбированию, а их корни все еще в хорошем состоянии.
- Коронки. Изделия предназначены для обновления, учитывая возможности каждого пациента.
- Восстановление. Процедура проводится во время лечения кариеса, либо для восстановления эмали. Благодаря новым технологиям клиентам устанавливаются прочные и эстетичные пломбы с различными оттенками.
- Художественная обновление позволяет предотвратить протезирование органа.
- Если зуб сломан, его необходимо отреставрировать с помощью коронки, либо с помощью композитного материала.
- Штифт – способ обновления зуба, который разрушен более 50%. Для проведения данной процедуры важно учитывать состояние корня.
- Протезирование используется в том случае, если моляр был полностью потерян.
Правила
Если наблюдается растрескивание, истончение, либо сколы зубной эмали, специалисты рекомендуют маскировать дефекты с помощью композитных материалов. восстановление может быть осуществлено всего за один сеанс, поскольку процесс не требует длительного времени.
Прежде чем проводить процесс обновления, стоматолог должен подобрать оттенок изделия, которое будет устанавливаться для устранения дефекта и поставить наркоз пациенту, если он необходим.
Высверливание поврежденных участков необходимо проводить с помощью боровой машины, а изоляцию проводят латексными подкладками, поскольку влага понижает эффективность процесса реабилитации зубного органа.
















