Сложно себе представить, сколько человечество придумало анекдотов. Наверняка сосчитать данные истории не представляется возможным. Интереснее изучить историю появления и последующего...
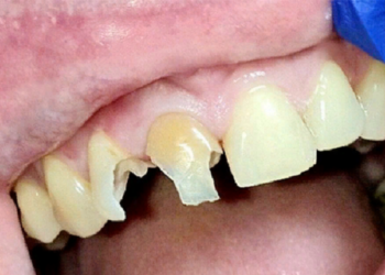
Металлопластмассовая коронка – это современный стоматологический вид протезирования, ориентированный на восстановление целостности зубного ряда. Такие коронки могут устанавливаться единично, а...
На данный момент, многие люди желают изменить свою внешность, корректировать различные детали. При этом, они могут использовать различные варианты продукции,...
Как ни странно многие молодые люди не знают, как добиться взаимности понравившейся девушки. Чтобы создать прочные отношения необходимо, чтобы партнерша...
УЗИ брюшной полости – это исследование, которое позволяет провести оценку состояние внутренних органов. Результаты обследования помогают в постановке верного диагноза...
Курятина – мясо, которое едят все (не считая вегетарианцев). Но не каждый умеет готовить птицу таким образом, чтобы она была...
Зависимость от алкоголя – последствия регулярных и частых употреблений алкогольных напитков. В качестве точки отпора является формирование алкоголизма в подростковом...
Толстовки – незаменимая вещь в гардеробе, подходящая абсолютно на любой сезон. С приходом весны включение толстовки в ежедневные образы становится...
При артрите коленного сустава наблюдается его воспаление, нарушение функционирования, появление боли в колене и отечности ткани. Если не приступать к...
Психологическое состояние человека влияет на его здоровье, работоспособность. Важна высокая самооценка, чтобы иметь уверенность в силах, получать радость жизни, уметь...